Leberreinigung
Leberreinigung (liver flush, gallbladder flush) bezeichnet pseudomedizinisch ein rein diätetisches Verfahren mit dem Ziel, auf angeblich natürliche und schonende Weise Gallensteine aus Leber und Gallenblase im Sinne einer Entschlackung zu entfernen. Entsprechende Verfahren sind sich prinzipiell sehr ähnlich und werden in alternativmedizinischen Büchern und Heften sowie im Internet beworben. In medizinischen Lehrbüchern und Standardwerken werden sie hingegen nicht erwähnt.
Als Folge der Kur werden Steine ausgeschieden. Dabei handelt es sich jedoch nicht um Gallensteine, sondern um Fett-Steine, die eine direkte Folge der Kur sind. Die Kur ist als Behandlung gegen Gallensteine wirkungslos.
Die Leberreinigung wird zwar allgemein als ungefährlich beschrieben, kann jedoch in Einzelfällen Ursache von behandlungsbedürftigen Zwischenfällen sein. Als Folge der hohen Fettbelastung können Gallensteinabgänge mit kolikartigen Beschwerden die Folge sein. Nach solchen Anwendungen sind Fälle einer biliären Pankreatitis mit erforderlichem chirurgischem Eingriff dokumentiert.[2]
Allgemeines
Den Verfahren gemeinsam ist die Behauptung, dass es durch Einnahme bestimmter Lebensmittel zur Ausscheidung von konkrementartigen grünen, braunen, gelben oder schwarzen Gebilden komme, die sich nach der so genannten Leberreinigung im Stuhl finden und die als Gallensteine zu verstehen seien.[3] Die Größe der klumpenartigen Gebilde kann dabei bis zu 3 cm Durchmesser erreichen. In Wirklichkeit handelt es sich dabei jedoch um Artefakte der Methode und nicht um Gallensteine; Anwender der Methode werden daher getäuscht. Die klumpenartigen Gebilde sind im englischen Sprachraum auch als Soapstones bekannt. Obwohl die übliche deutsche Übersetzung für soapstone Speckstein ist (wörtlich Seifenstein), ist der Begriff Speckstein in diesem Zusammenhang wenig hilfreich, Seifenstein wäre passender. Die konkrementartigen Gebilde sehen zwar auf den ersten Blick aus wie Gallensteine, sind jedoch in Wirklichkeit durch die Galle gefärbte Seifen (bzw. chemisch gesehen Salze oder Fettsäure-Glycerin-Ester) der zugeführten pflanzlichen Öle, die sich erst im Darm bilden. Sie stammen daher nicht aus der Leber oder Gallenblase. Nach Lufttrocknung können diese weichen, gallertartigen Gebilde auch eine feste Konsistenz erreichen.[4]
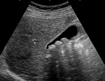
Dass diese Artefakte keine Gallensteine sein können, lässt sich durch eine Schwimmprobe erkennen: Die bei dieser Methode beobachteten Konkremente schwimmen nämlich auf dem Wasser, während dies tatsächlich nur für einen Teil der Gallensteine zutrifft. Echte Gallensteine sammeln sich daher in der Regel am Boden der Gallenblase, wo sie im Röntgen- oder Ultraschallbild gesehen werden können. Einige Formen von Cholesterinsteinen können in hochkonzentrierter Galle in der Gallenblase aufschwimmen. Ein weiterer Beweis, dass diese Konkremente nicht Steine aus der Gallenblase sein können, ergibt sich aus Beobachtungen der erzielbaren Konkrementmengen (bis zu 500 oder gar 1000 Stück), die niemals in einer Gallenblase Platz fänden.[5] Die Gallenblase eines Erwachsenen ist nur wenige Zentimeter lang und hat ein Fassungsvermögen von etwa 50 Milliliter.
In einer Mitteilung an die renommierte Fachzeitschrift The Lancet wurde 1999 über eine liver flush-Leberreinigung genauer berichtet. Die dabei gebildeten weichen Konkremente wurden chemisch untersucht und als fatty stones, also Fett-Steine, und nicht als Gallensteine erkannt.[6] Zum gleichen Ergebnis kam eine neuseeländische Untersuchung. Bei einem Patienten mit bekannten Gallensteinen wurden nach einer alternativmedizinischen Leberreinigung Gebilde im Stuhl gefunden, die sich im Darm aus Fettsäuren gebildet hatten. Die tatsächlichen Gallensteine blieben von der Behandlung unberührt und mussten chirurgisch entfernt werden. 2005 berichteten Forscher in einer Mitteilung an die Zeitschrift The Lancet ebenfalls über eine Leberreinigung und beschrieben die dabei gebildeten Konkremente genauer. Diese ließen sich bei 40 °C einschmelzen und hatten eine andere chemische Zusammensetzung als Gallensteine. Die Autoren kamen zum Schluss, dass die Entfernung von Gallensteinen durch eine derartige Leberreinigung daher ein Mythos sei.[7]
In Experimenten konnten entsprechende weiche Konkremente aus den Zutaten des liver flush künstlich nachgebildet werden. Eine diesbezügliche, 2005 durchgeführte Untersuchung zeigte, dass sich bei Vermengung der entsprechenden Zutaten ähnliche Konkremente auch außerhalb des menschlichen Körpers bildeten.[8][9]
Befürworter dieser Leberreinigungs-Methode behaupten, dass Magnesiumsulfat (Bittersalz) zu einer Verengung der Gallengänge und der Gallenblase führe. Für eine Wirkung, die zu einer Kompression der Gallenblase führt, gibt es Belege,[10][11] aber auch experimentelle Widerlegungen.[12]
Eine weitere Falschbehauptung betrifft die Häufigkeit von Gallensteinen. Befürworter der hier thematisierten Leberreinigung behaupten, dass praktisch jeder Mensch - auch Kinder - Gallensteine habe. Dabei werden beispielsweise Häufigkeiten von 99,9% bei Krebspatienten behauptet. Wissenschaftlich sind jedoch "nur" 10% bis 15% der erwachsenen Bevölkerung Gallensteinträger, Frauen sind dabei etwa doppelt so häufig betroffen wie Männer. 75 Prozent der Gallensteinträger entwickeln zeitlebens keine Beschwerden und benötigen in der Regel keine Therapie.
Einige Anbieter der Leberreinigung werden von ihren Kunden oder Patienten mit der naheliegenden Frage konfrontiert, wie es möglich sei, dass sich unter der Anwendung dieser Methode ständig neue Gallensteine bildeten, die dann beseitigt werden müssten. Die Anbieter haben eine Praxis entwickelt, mit dieser unbequemen Frage umzugehen: So ist zu beobachten, dass sie die aufzunehmende Fettmenge (z.B. als Olivenöl) im Laufe der Zeit reduzieren lassen. In der Folge reduziert sich auch die Menge der gebildeten Klumpen und dies kann dann dem Kunden als scheinbarer Erfolg glaubhaft gemacht werden. Die Menge der ausgeschiedenen Steine nimmt ab. Einen Einblick in eine derartige Praxis lieferte ein Gastroenterologe, der sich mit einer E-Mail mit dem Autor eines Blogartikels [4] zur Leberreinigung in Verbindung setzte. Autor Marcus Anhäuser zitiert diese E-Mail in seinem Blog.[13]
Die Biochemie der falschen Gallensteine
Die hier verwendeten Öle (Olivenöl) enthalten neben Glyzerin viele ungesättigte oder gesättigte Fettsäuren. Je kürzer und ungesättigter diese Fettsäuren sind, desto flüssiger sind die Fette bzw. Öle. Die verschiedenen Fettsäuren binden an die OH-Gruppen des Glyzerins (Ester-Bindung). Das Olivenöl enthält viel Ölsäure (in reiner Form flüssig), aber auch Stearin- und Palmitinsäure, die in reiner Form weiß und fest sind. Nach enzymatischer Spaltung der Glyzerinester (also der Fette) durch Lipasen im Darm liegen diese Fettsäuren in freier Form vor. Sie verbinden sich im vorliegenden Fall mit dem zusätzlich zugeführten Magnesium-Bittersalz (Magnesiumsulfat), fallen als Seifen aus und bilden Klumpen aus Magnesiumstearat, -oleat und -palmitat.[14]
Der kommerzielle Aspekt
Während kommerzielle Anbieter (meist Online-Shops) keine nachprüfbaren Angaben zu den Substanzen mitteilen, von denen die Leber entgiftet werden soll, und auch keine nachprüfbaren Angaben über veröffentlichte kontrollierte Studien zu dieser Methode machen, wird mit so genannten Leberreinigungsprogrammen und den Zutaten wie Bittersalz (oder Epsom-Salz) Umsatz gemacht. Der zahlende Kunde wird dabei aufgrund der Versprechungen fälschlich annehmen, dass er mit dieser Methode tatsächlich mögliche Gallensteine ausscheidet. Broschüren mit Erläuterungen und etwas Bittersalz werden für 25-31 Euro angeboten. Eine große Leberkur kostet bereits 70 Euro, und inklusive der Beratung durch einen Heilpraktiker können Kosten von über 200 Euro entstehen, wie Patienten berichten.[15] Befürworterund Anwender waren beispielsweise Hulda Clark und Andreas Moritz. Aktuell wird die hier gemeinte so genannte Leberreinigung von dem Arzt, Homöopathen und Impfgegner Georg Kneißl aus dem oberbayerischen Zangberg beworben.
Wie ein case-report des British Medical Journal 2017 meldete, kam es bei einem Patienten zu einem Leberschaden, weil dieser auf Anraten seines "Naturheilers" Bittersalz eingenommen hatte. Der Mann musste stationär behandelt werden.[16]
Die Leberreinigung auf dem Prüfstand des Universitätsklinikums Gießen
Der Internist Nils Ewald vom Universitätsklinikum Gießen veröffentlichte im September 2009 eine Mitteilung an die Deutsche Medizinische Wochenschau,[17] in der er über einen 59-jährigen Mann berichtete, der sich mit einer derartigen Leberreinigung selbst zu therapieren versuchte. Der Mann war beschwerdefreier (asymptomatischer) Gallensteinträger und führte alle vier Wochen eine derartige Leberreinigung mit Olivenöl und Grapefruitsaft durch. Jedes Mal fanden sich im Stuhl gallensteinähnliche Konkremente. Wegen einer möglichen "massiven Neigung zu Gallenstein" wurde er vom Hausarzt in die Gastroenterologie der Uniklinik Gießen eingewiesen. Bei der Ultraschalluntersuchung der Gallenblase fanden sich nach wie vor Gallensteine in gleicher Anzahl. Die vom Patienten zur Verfügung gestellten Konkremente wurden chemisch untersucht und eindeutig als Nicht-Gallensteine identifiziert. Es fehlte die typische kristalline Struktur sowie die gallensteintypischen Bestandteile. Hingegen fanden sich Fettsäuren als Reaktionsprodukt der aufgenommenen Lebensmittel Olivenöl und Fruchtsaft. Bei (mit Ultraschall nachgewiesenem) Fehlen eigener Gallensteine schieden Ewald und zwei seiner Kollegen in einem Selbstversuch ebenfalls die entsprechenden "Steinchen" aus.[18]
Leberreinigung im Schweizer Fernsehen SF
2010 war die Leberreinigung Thema im deutschsprachigen Schweizer Fernsehen SF (Sendung "Puls"). Die Mitarbeiterin Sarah Allemann des SF ließ sich per Ultraschall untersuchen. Das Ergebnis war, dass bei ihr keine Gallensteine auffindbar waren. Anschließend testete sie die "Leberreinigung" und trotz nicht vorhandener Gallensteine zeigten sich bei ihr die grünen Steinchen in der WC-Schüssel. Das Fernsehteam brachte die Steine ins Labor am Institut für Klinische Chemie des Universitätsspitals Zürich. Eine Untersuchung mittels Röntgendiffraktion zeigte, dass die Steine keine kristallinen Komponenten enthielten, was bei echten Gallensteinen zwingend der Fall sein müsste. Unter einer wärmenden Lampe wurden die Klumpen weich und zerflossen. In einer weiteren Laboranalyse wurde die genaue Zusammensetzung aus verseifter Ölsäure vom Olivenöl nachgewiesen.[19]
Leberreinigung nach Clark
Die US-amerikanische Alternativ-Wunderheilerin Hulda Clark bewarb eine eigene Version einer Leberreinigung. Eingesetzt werden dabei Glaubersalz, säurehaltige Fruchtsäfte sowie große Mengen Olivenöl. Clark machte zu dieser Methode auch irreführende Angaben. So war sie der Meinung, dass insbesondere Kinder häufig an Gallensteinen litten und daher mit ihrer Methode behandelt werden sollten. Tatsächlich sind jedoch Gallensteine typische Erscheinungen des Erwachsenen und älteren Menschen.
Leberreinigung nach Kneißl
Unter Berufung auf die verstorbene US-amerikanische Scharlatanin Hulda Clark bietet der in Bayern lebende deutsche Arzt Georg Kneißl eine Anleitung zur Reinigung der Leber als eine der Varianten der hier thematisierten Leberreinigung an.[20] Wünschenswert sei "vorab die Zahnsanierung mit einer Entfernung aller Amalgamfüllungen", denn "ein toxischer Mund ist für die Leber stets eine schwere Belastung". Von der österreichischen Firma SAN-U-VIT GmbH aus St. Johann im Pongau wird ein Set mit den zusätzlich zum Olivenöl notwendigen Substanzen ("Epsom Salz, Power C, Korianderwürze nach Dr. G. Kneißl 50ml, Liver-Vit, L-Ornithin, Vitamin E Premium Komplex") verkauft, das Kneißl wie folgt bewirbt: "Reinigen Sie Ihre Leber wenigstens zweimal im Jahr! .. Gratulation! Sie haben Ihre Gallensteine ohne Operation entfernt und haben massiv Gifte, Bakterien und Viren ausgeschieden!!". Kneißl unterschlägt, dass eventuell vorhandene Gallensteine, die keine Symptome verursachen, in der Regel nicht entfernt werden müssen. Auch fordert er keinerlei Nachweis des Vorhandenseines etwaiger Gallensteine für seine Methode. Im Gegenteil: nach Kneißl sei der medizinisch anerkannte Weg, tatsächliche Gallensteine nachzuweisen, untauglich. Zitat: "Wenn die Gallenblase mit Ultraschall untersucht oder geröntgt wird, ist oft nichts zu sehen." Tatsächlich erreicht eine herkömmliche Ultraschalluntersuchung beim Nachweis von Gallensteinen eine Treffsicherheit von mehr als 95 Prozent.
Nach Kneißl soll die Methode aus "Lebergängen" die gemeinten Steine, "Gifte" (um welche Gifte es sich handeln soll, wird nicht gesagt), Bakterien und Viren entfernen. Kneißl schreibt dazu: "Bei vielen Menschen, selbst bei Kindern schon, sind die Gallengänge in der Leber mit Gallensteinen und –Gries verstopft.. Nach Untersuchungen von Dr. Georg Kneißl sind Gallensteine und Gallegries auch an der Bildung von Brustdrüsenverdichtungen und Brustknoten beteiligt.." Kneißl verschweigt hier, dass echte Gallensteine sich in der Gallenblase bilden, nicht in der Leber und ohnehin nur 15-20% der Deutschen (eher ältere Menschen, mehr Frauen als Männer) von Gallensteinen betroffen sind. Nach Anwendung des Sets soll der Kunde seinen Stuhlgang selbst untersuchen, um an die Methode zu glauben: "Am Morgen ist Durchfall zu erwarten. Schauen Sie mit der Taschenlampe nach Gallensteinen im Stuhlgang. Schauen Sie nach der grünen Sorte, da dies der Beweis ist, dass es echte Gallensteine sind, keine Nahrungsreste. Nur Gallenflüssigkeit aus der Leber ist erbsengrün. Der Stuhlgang sinkt im wassergefüllten WC ab, aber die Gallensteine schwimmen - wegen des Cholesterins darin - oben. Zählen Sie diese alle überschlägig, ob braun oder grün. Sie werden insgesamt bis zu 1000 „Steine“ zusammenzählen müssen, bevor die Leber so sauber ist, dass Sie Allergien, Schleimbeutelentzündung oder Schmerzen im oberen Rücken auf Dauer losgeworden sind."
Zu Kneißls Methode der Leberreinigung gehört auch eine Entsäuerung mit so genanntem Basenpulver sowie eine "ganzheitliche Zahnsanierung".
Methode nach Andreas Moritz
Nach Ansicht des Impfgegners und Iridologen Andreas Moritz (1954-2012) sollten die meisten Erwachsenen der industrialisierten Welt und vor allem diejenigen, die unter chronischen Krankheiten wie Herzerkrankungen, Arthritis, Diabetes, Krebs oder MS leiden, Hunderte, wenn nicht Tausende von Gallensteinen haben, die die Gallengänge der Leber blockierten. Nach seiner Moritz-Methode soll der Anwender sechs Tage lang Magnesiumsulfat (Bittersalz, Epsom-Salz oder Epsomit) einnehmen sowie je einen Liter Apfelsaft und 1/8 Liter Olivenöl trinken. Hinzu kommen Grapefruitsaft oder Zitronen und Orangen. Die Fruchtsäfte sollen dabei aus dem Darm in die Leber gelangen, dort Gallensteine aufweichen und sie dadurch abfließbar machen. Um eine Unterkühlung der Leber zu vermeiden, solle auf kalte oder gefrorene Nahrungsmittel verzichtet werden. Bei Anwendung dieser Methode soll es zum Erscheinen von "hunderten kleinen Gallensteinen" und "Toxinen" unbekannter Art im Stuhl kommen. Die "Steinchen" sollen dabei bis etwa 3 cm groß sein und in der Toilette "aufschwimmen".
Siehe auch
Literatur
- Christiaan W: Could these be gallstones? Lancet 2005, Volume 365, Issue 9468, S.1388, doi:10.1016/S0140-6736(05)66373-8
- Dekkers R.: Apple juice and the chemical-contact softening of gallstones. Lancet 1999, 25:354, 2171.
- Ewald, N, Hardt, P D: Flushing stones? „Leberreinigung” und „Gallenspülungen”. DMW 36, 2009
Weblinks
- http://www.spiegel.de/wissenschaft/medizin/0,1518,648156,00.html
- http://www.scienceblogs.de/plazeboalarm/2009/09/leberreinigung-directors-cut.php
- http://www.aerztezeitung.de/panorama/auch_das_noch/?sid=565901
- Fängt der Tod im Dickdarm an? Artikel bei GPSP
- SF TV: Gegen Gallensteine hilft keine Spuelung
- http://www.quackwatch.org/01QuackeryRelatedTopics/flushes.html (englisch)
- http://mondomedico.wordpress.com/2009/04/27/limpieza-hepatica-de-andreas-moritz-como-mezclar-falacias-con-pseudomedicina/ (spanisch)
Video
Quellennachweise
- ↑ Quelle: The Lancet, Volume 365, Number 9468, 16. April 2005. Could these be Gallstones?
- ↑ S. U. Christl: Biliäre Pankreatitis nach alternativmedizinischer Leberreinigung. Die Medizinische Welt 2006 57 12: 596-598. [1]
- ↑ http://www.ellenharris.com/OS/ThirdFlush.html
- ↑ http://www.quackwatch.org/01QuackeryRelatedTopics/flushes.html
- ↑ http://www.sciencebasedmedicine.org/?p=93
- ↑ Dekkers R: "Apple juice and the chemical-contact softening of gallstones", THE LANCET, Vol 354, December 18/25, 1999, S.2171
- ↑ Christiaan W: Could these be gallstones? The Lancet, Volume 365, Issue 9468, Seite 1388, 16. April 2005 doi:10.1016/S0140-6736(05)66373-8
- ↑ Alan R. Gaby. "The gallstone cure that wasn't". Townsend Letter for Doctors and Patients. November 2005
- ↑ http://findarticles.com/p/articles/mi_m0ISW/is_268/ai_n15795429/
- ↑ Sterczer, Vörös, Karsai: Effect of cholagogues on the volume of the gallbladder of dogs. research in Veterinary Science, Volume 60, Issue 1, January 1996, S. 44-47 doi:10.1016/S0034-5288(96)90129-0
- ↑ http://www.pharmazeutische-zeitung.de/index.php?id=5488
- ↑ Kazutomo Inoue, Isidoro Wiener, Charles J. Fagan, Larry C. Watson, and James C. Thompson. Correlation Between Gallbladder Size and Release of Cholecystokinin After Oral Magnesium Sulfate in Man. Ann Surg. 1983 April; 197(4): 412–415
- ↑ Genau dieses Procedere der "Leberreinigung" führt ein sog. Heilpraktiker in der näheren Umgebung durch. Ich bin als Schwerpunkt-Gastroenterologe in eigener Praxis tätig und bekomme aufgrund des aggressiven Marketings jetzt sogar Anfragen von Hausärzten(!) für die Durchführung einer solchen Therapie. Die Kollegen konnte ich bislang mit dem Argument der Ultraschallbilder von der Sinnlosigkeit der Methode überzeugen, bei den Patienten sieht das anders aus.... Dieser Scharlatan von einem Heilpraktiker reduziert nämlich die Fettmenge und macht die ausgeschiedenen "Steine" so kleiner - das verkauft er den Patienten dann als Therapieerfolg. Nach dem Motto: sehen Sie, die werden schon kleiner.... Der Therapieerfolg wird von den Patienten bereitwillig digital dokumentiert. Wenn ein Arzt dann im Ultraschall weiterhin Gallensteine feststellt, erklärt er den Menschen, daß die Steine halt wieder gekommen sind - und behandelt erneut (für 256 €, bar oder mit EC Karte).
- ↑ frei interpretiert nach Beitrag eines unbekannten Kommentatoren des SPON-Blogs namens Silvaticus vom 14. September 2009 [2]
- ↑ http://www.scienceblogs.de/plazeboalarm/2009/09/leberreinigung-directors-cut.php
- ↑ Cyriac Abby Philips, Rajaguru Paramaguru, Pushpa Mahadevan, Philip Augustine Severe liver injury due to Epsom salt naturopathy, BMJ Case Reports 2017; doi:10.1136/bcr-2017-221718
- ↑ Ewald, N, Hardt, P D: Flushing stones? "Leberreinigung" und "Gallenspülungen". DMW 36, 2009. Siehe auch Ärztezeitung vom 16. Septermber 2009[3].
- ↑ http://www.spiegel.de/wissenschaft/medizin/0,1518,648156,00.html
- ↑ Sendung "Puls" vom 6.12.2010, Schweizer Fernsehen
- ↑ http://www.praxis-dr-kneissl.de/pdf/leberreinigung.pdf

