Christoph Buck
Buck2.jpg

Christoph Buck (geb. 1960) ist ein deutscher Bankangestellter, Erfolgscoach und MLM-Networker aus Backnang. Buck ist aktiver Anhänger der Germanische Neue Medizin des Wunderheilers Ryke Geerd Hamer und macht mit eigenen Webseiten auf die pseudomedizinische Hamer-Lehre aufmerksam indem er behauptet durch diese Lehre von einem Hodentumor geheilt worden zu sein, das sich jedoch als Epididymitis (Entzündung des Nebenhodens) herausstellte.

Laut eigenen Angaben sei Buck Mitglied des Vereines Menschen gegen Krebs des ehemaligen Krankenpflegers Lothar Hirneise, sowie Mitglied der International Meta Medicine Association (IMMA), eines "Eagle-Team International", bei LifePlus International sowie in einem "Gabi Steiner Team".

Buck gibt an Mitglied der "Norweger-Gemeinde" Glaubensgemeinschaft zu sein (Christliche Gemeinde - DCG, Smiths Freunde), sich für Positiv Denken nach Joseph Murphy, The Secret, Robert Merkel ("Die Lösung"), Gabi Steiner ("Von Mensch zu Mensch"), Alternativmedizin, Metamedizin, Germanische Neue Medizin und Orthomolekulare Medizin einzusetzen.

Die angebliche Wunderheilung

 
Auszug aus Buck-Bericht
 
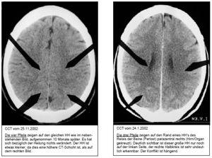
unauffälliges CT (Quelle: Buck-info)
 
unauffälliges CT (Quelle: Buck-info)

Buck behauptet auf eigenen Webseiten im Internet dank der Germanischen Neuen Medizin Lehre nach Hamer von einem Hodentumor (von ihm als Hodennekrose bezeichnet) geheilt worden zu sein, und keine herkömmliche medizinische Therapien durchgeführt zu haben und heute gesund zu sein. Geholfen hätte ihm jedoch auch sein christlicher Glaube (Mein besonderer Dank gilt zuerst meinem Gott, der so gnädig war und mir im letzten Moment wieder in Erinnerung brachte, was ich einmal flüchtig im Internet über die "Neue Medizin" gelesen hatte). Auch berichtet Buck, von einem Hans Tolzin im Internet gelesen zu haben, der Infos und Links zu alternativen Heilmethoden bei Krebs gegeben habe und der insbesondere darauf hingewiesen habe, dass es andere Möglichkeiten geben würde, als Chemotherapie und Bestrahlung, die ja den meisten Krebskranken eher zum Tod verhelfen, als zum Leben. Nachdem er die Angaben ausgedruckt habe, habe er sich auf die Suche nach weiteren Informationen zur GNM gemacht.

Buck gibt an nach den Regeln der GNM behandelt worden zu sein, und zwar auf Anregung eines "Team des Fördervereins für Neue Medizin", sowie durch Vermittlung einer Frau Kersti Nebelsiek sowie von Lothar Hirneise, die ihn bei seinen GNM-Bemühungen begleitet hätten und "Mut gaben".

Buck wurde überzeugt, dass eine beobachtete Schwellung und Verhärtung am oberen Pol des rechten Hodens im Januar 2002 durch einen so genannten "Verlustkonflikt" ausgelöst wurde, und dass die Hodenschwellung ein Zeichen der "Heilung" eines angenommenen Hodenkrebses sei, der sich nach einer "Konfliktlösung" in Gang gesetzt habe. Zugute gekommen sei ihm auch seine Überzeugung, dass die Schulmedizin eher zugunsten des Profits als zum Vorteil des Patienten handelt, da aus seinem Laienverständnis die "Schulmedizin" sich mit Symptomen befasse, anstatt den Menschen als Einheit von Körper, Seele und Geist anzusehen.

Daher beschloss Buck , vorerst nicht zum Urologen zu gehen, sondern zu einer Ärztin, die ihm vom Förderverein der Neuen Medizin telefonisch genannt wurde und sich mit der Neuen Medizin auskennt.

Der unbekannten NM-Ärztin erzählte Buck von einem "hochakuten, dramatischen und isolierenden" Verlustkonflikt aus dem Sommer 2001, den er durch wochenlange Gebete angegangen habe, der im Oktober 2001 wie durch ein Wunder aber "gelöst" worden sei. Laut Buck habe die Ärztin daraufhin "bestätigt", dass der genannte "Verlustkonflikt" eindeutig die Ursache des vermeintlichen Hodentumors sei. Zur NM-Diagnostik musste Buck zum Radiologen um ein Schädel-CT anfertigen zu lassen, um nach Hamerschen Herden zu fahnden. Im weiteren Verlauf stellte sich heraus, dass ein positiver Tumormarkerwert im Blut nicht zu finden war. Die NM-Ärztin soll dann an Hand des CT "festgestellt" haben, dass der gemeinte Konflikt in Lösung sei und dass es sich um ein "interstitielles Hoden-Carcinom" handeln müsse, das dabei einer Nekrose entspreche, die während der konfliktaktiven Phase Zellminus bewirkt. Laut NM-Ärztin befände Buck sich in einer "Heilungs-Phase (pcl-Phase)" und im CT seien keine "aktiven Hamerschen Ringe" zu sehen. Im April 2002 ging dann Buck dennoch nach Absprache mit der NM-Ärztin zu einem Urologen, da sich Schmerzen einstellten. Der Urologe soll ihm erzählt haben, dass er mit einer "Wahrscheinlichkeit von 95%" einen Hodentumor hätte (berichtete Diagnose: Die Untersuchung zeigte einen auffällig indurierten[18] Nebenhoden/Hoden rechts, Nebenhoden vom Hoden nicht sicher abgrenzbar, dringend tumorverdächtig.), der chrirurgisch gehandelt eine nahezu 100%ige Heilung erwarten liesse. Buck machte sich nun Sorgen aufgrund der für ihn schockierenden Diagnose Metatstasen zu bekommen, da laut Hamer so genannte Zweitkrebs nach "Diagnoseschock" auftreten würden. Eine Frau Kerti Nebelsiek (offenbar keine Ärztin sondern Biologiestudentin und Hameranhängerin) schrieb ihm in einer Email: auf jeden Fall weder eine Chemotherapie noch eine Bestrahlung machen zu lassen. Als die Laborergebnisse eintrafen, und die Tumormarker AFP, β-HCG, als auch PLAP negativ waren, revidierte der Urologe seine vermutete Diagnose. Ein Seminom oder ein bösartiger Tumor seien unwahrscheinlich und empfahl eine Biopsie (Probeentnahme). Inzwischen hatte ein NM-Heilpraktiker der sich "in der neuen Medizin auskenne", ebenfalls seine Schädel-CT Aufnahmen angesehen. Dieser Heilpraktiker rief ihn an und meinte dass er aufgrund der CT-Bilder "wisse", dass es sich um ein "interstitielles Hoden-Ca aufgrund eines Verlustkonfliktes" handele. Er könne auch feststellen, dass der Konflikt "in Lösung sei". Ausserdem könne er einen "brutalen Trennungskonflikt" im CT befunden und schlug eine weitere CT-Aufnahme vor. Auch dieses CT soll dann gezeigt haben, dass sich der angenommene "Hodentumor" in eine "Heilungsphase" befinde", da ein Hamerscher Herd im CT "in Lösung" sei. Es sei nur noch eine "Ödematisierung" erkennbar. Daraufhin besserte sich der Zustand und Buck beschloss Mitglied im Verein "Menschen gegen Krebs e.V" zu werden, um regelmäßige Infos zum Thema Krebs und alternativen Krebstherapien zu erhalten. Außerdem könne er so als Mitglied täglich bei der Info-Hotline anrufen und Fragen an Herrn Hirneise stellen. Hirneise soll ihm dann von einer erwogenen Misteltherapie abgeraten haben, da diese "den Körper nur unnötig belaste". Eindeutige Beweise zur Wirksamkeit dieser Therapie gäbe es derzeit sowieso noch nicht laut Hirneise. Buck: Er bestärkte mich in meinem Glauben an die Richtigkeit der Neuen Medizin. Er sagte, dass ich das Glück gehabt hätte, von der ersten Minute an nach der Neuen Medizin vorgegangen zu sein. Die meisten Menschen würden erst nach Alternativen suchen, wenn sie von der Schulmedizin aufgegeben sind.

Bei einem Kontrollbesuch beim Urologen tippte dieser nun auf eine Entzündung (Nebenhodenentzündung) als Ursache der Schwellung und Schmerzen. Die Urologen-Diagnose laut Buck: Ausschluss Hodentumor re (negative Tumormarker), Epididymitis rechts. Er würde retrospektiv doch eher von einer atypischen Epididymitis ausgehen.

Buck beschloss nun Cellagon aurum einzunehmen, eine Bekannte mit Brustkrebs hatte es ihm empfohlen um "körpereigene Depots aufzufüllen". Auch besorgte sich Buck Zutaten für die Öl-Eiweißkost nach Johanna Budwig nach einem Hirneise-Rezept eines 3E-Programm nach Hirneise.

Christoph Buck liess noch ein drittes Schädel-CT fertigen und will dabei die erfahrung gemacht haben dass sein Radiologe von der NM angetan sei. Auch wurde ein zweiter Urologe konsultiert. Eine Biopsie verweigerte Buck auch diesmal, da eine Biopsie möglicherweise die Ausbreitung in Blut- und Lymphgefäße fördert, was jedoch mit der Hamer-Lehre unvereinbar ist.

Buck kommt letztendlich zum Ergebnis: Somit ist die Neue Medizin mit ihren biologischen Naturgesetzen zweifelsfrei nachgewiesen. Das 4. und 5. Gesetz kann bei mir derzeit nicht überprüft werden, da keine entsprechenden Befunde vorliegen. [...] Für mich ist die Sache jetzt abgeschlossen. Wichtig ist es, dass ich darauf achte, nicht noch einmal die ganze Sache durch ein Konflikt-Rezidiv heraufzubeschwören. Doch dies wird wohl nicht mehr geschehen, da ich ja die Ursache, also den Konflikt kenne. Somit kann ich auch ein Rezidiv und ein erneutes Ausbrechen des Hodenkrebses verhindern. Sorge ich für das Wohlbefinden meiner Seele, dann erledigt sich auch jegliche Nachsorge im üblichen Sinne.

Interview-Angebot des SWR

Buck wurde als Reaktion auf einen Leserbrief vom SWR-Redakteur Schober angeboten Buck zu interviewen, quasi als "Gegendarstellung" zu einer vorherigen kritischen Sendung zur GNM. Er wolle Buck als einer von denen präsentieren, bei denen die Therapie nach der Neuen Medizin angeschlagen habe. Dabei wollte Schober auch die Ärztin sowie den Urologen zu Wort kommen lassen. Buck lehnte ab. Der Grund war dass seiner Meinung nach die Heilung meines Hodenkrebses nicht so einfach nachweisbar sei. Möglicherweise würden gar medizinische Akten mit Histologie und Grading gefordert werden, die er nicht vorweisen könne. Auch sehe er im Interviewangebot eine "Falle". Zudem hatte man Buck von "verschiedenen Seiten" dringend davon abgeraten, da es eine "alte Masche der Medien" gebe, nämlich die "NM-Geheilten psychisch fertig zu machen". Buck empfahl Schober jedoch eine Frau Dr. Rosemarie Berbuer zu kontaktieren.

Hodenkrebs und Neue Medizin

 
Sören Wechselbaum

Es gibt mindestens ein Fall eines Patienten, der tatsächlich Hodenkrebs hatte und sich nach der Neuen Medizin behandeln liess. Der Mann hiess Sören Wechselbaum und war im Jahre 2002 25 Jahre alt, als er an Hodenkrebs erkrankte. Nach Angaben seiner Mutter Christa war ihr Sohn bis zu seinem Tod Anhänger der GNM und verweigerte jegliche medizinische Therapie. Der Hodenkrebs gilt heute in der evidenzbasierten Medizin als gut behandelbar mit einer Prognose, die über 90% liegt. Sören Wechselbaum verstarb an seinem Tumor[1]. Einen Tag vor seinem Tode vertraute er sich seinem Freund Stefan an und bereute seine Entscheidung. Die Mutter Christa machte Jahre später noch regelmäßig Demonstrationen gegen die GNM.

Ein anderer Fall ist der Hodenkrebs von Hamer selbst. Hamer ließ seinen eigenen Hodenkrebs nach den damaligen Regeln der wissenschaftlichen Medizin im jahre 1979 an der Uniklinik Tübingen chirurgisch entfernen und es ist kein Rezidiv seitdem bekannt.

Siehe: Opfer der Germanischen Neuen Medizin

geschäftliche Aktivitäten

Buck ist Gruppenleiter der BW-Immobilien GmbH (u.a. Gebäudereinigung, Parkplatzbewirtschaftung, Büromöbel-Instandhaltung, Pflanzenpflege) und war davor Angestellter (Sicherheitsassistent) der Landesbank Baden-Württenberg sowie im Einzelhandel (Oberbekleidung und Warenwirtschaftssysteme).

Hinzu kommen Aktivitäten im Verkauf von GNM-Druckerzeugnissen.

Buck ist nebenberuflich im Empfehlungsmarketing tätig und betreibt mit seiner Ehefrau die Firma Buck Aktivteam in Backnang. Geschäftsbeziehungen existieren zum Empfehlungsmarketing mit LifePlus, 7 Day Wealth, Zenzuu, 3G-Konzept (Gesundheit - Geld - Gemeinschaft, alternativ: Gesundheit - Geld - gute Gefühle). Vermarktet werden überflüssige Produkte zu einem Anti-Aging Effekt, Nahrungsergänzungsmittel, Antioxidantien, obskure Bauch-Weg-Produkte (FlacherBauchCom), Wellnessprodukte und so genannte "Vitalstoffe" die der ortomolekularen Medizin zuzuordnen sind.

Quellennachweise

  1. Gutachten zum Fall Wechselbaum von Prof. Dr. med. hab. Jürgen Dietrich, Leipzig, vom 26. Juli 2004